Integrating both conventional and resin-bonded approaches, the programme ensures that practitioners enhance their clinical decision-making, refine their diagnostic skills, and apply evidence-based practice to achieve optimal functional and aesthetic outcomes. This comprehensive learning experience will support ongoing professional growth, enabling dental professionals to provide high-quality, predictable treatments in line with modern standards of fixed prosthodontics.



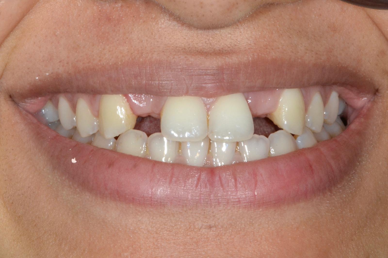
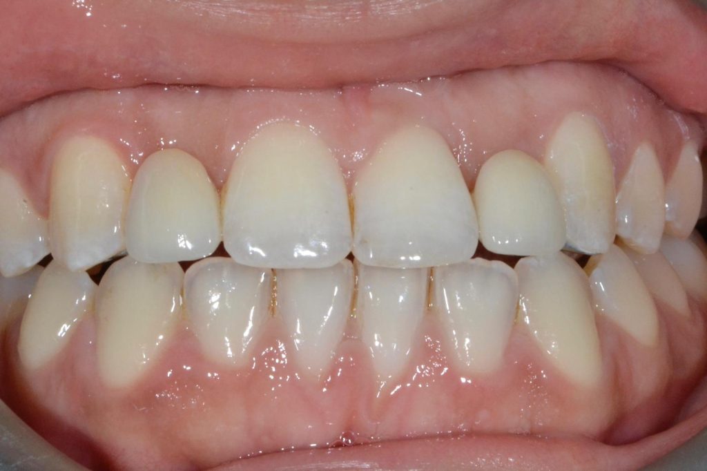
Because fixed bridge work isn’t just about the ‘technique’ — it’s about thoughtful planning, smart decision‑making, and flawless execution.
This course takes you beyond the basics:

Master both conventional and resin‑bonded bridge techniques so you can tailor your solution to the unique clinical demands of each case.

Sharpen your diagnostic and treatment‑planning skills, empowering you to choose the right design for each patient’s anatomy, occlusion and aesthetic needs.

Practise the full workflow: from tooth preparation, impression (or scan) capture, lab communication, try‑in and final placement — all anchored in evidence‑based fixed prosthodontics.
What you’ll take away:
- A clear framework for case selection, design planning and material considerations
- Enhanced manual skills in preparation, seating, cementation or bonding of bridges
- Better lab‑communication and workflow fluency — reducing remakes and improving patient satisfaction
- The ability to confidently deliver aesthetic and functional results that stand the test of time

Dr Stefano Del Monte
Specialist in Prosthodontics
DDS, DClinDent, M Prost RCSEd, FHEA
Dr Stefano Del Monte is a highly respected specialist prosthodontist who works as a consultant in leading dental practices in Harley Street and Chelsea. He is a member of the Royal College of Surgeons of Edinburgh and lectures within the UK for Health Education England, as well as internationally for various societies of Prosthodontics and Restorative Dentistry.
Dr Stefano completed a three-year, full-time Doctorate of Clinical Dentistry in Prosthodontics at Queen Mary University of London, where he also worked as a lecturer before joining the prestigious Eastman Dental Hospital as a lecturer.
He has received several awards, including the SCAD VITA Award for Excellence in Research in Chicago, first prize for best presentation at the CARDP annual meeting in Montreal, and the prestigious Schottlander Award, which recognizes the best research project in the field of dentistry in the UK.
Dr Del Monte’s papers have been cited hundreds of times. One of his publications was selected by the American Academy of Restorative Dentistry as one of the most relevant papers in the field of restorative dentistry.
Why train with DentUcation?
MediMatch have partnered with DentUcation to provide dentists and dental staff with the opportunity to receive exceptional training from some of the world’s leading practitioners.
Whether you’re looking to expand your learning or simply wishing to develop your current skillset, our training courses are designed to offer the highest quality practical and theoretical teachings to enhance your practice’s offerings.




Hands on practicals & theory teaching

Access to Key Opinion Leaders

Fantastic networking opportunities

“An excellent course which was very easy to understand and very practical.”

“The course was very good with clear instruction of the process and enough time for practical aspects with help available readily at all times.”


































